A confident smile can completely change how you feel about yourself — and dental veneers are one of the most effective ways to achieve that radiant, flawless smile. But if you’ve started researching veneers cost per tooth, you might have already discovered that there’s a lot more to consider than just numbers.
Table of Contents
ToggleAt Vinnova Dental, we believe in empowering patients with transparent, honest information about their options. Whether you’re curious about the difference between porcelain and composite veneers, what determines the veneer’s cost, or what to expect during your smile transformation journey, this comprehensive guide will help you make an informed decision.
Understanding Dental Veneers

Dental veneers are ultra-thin shells bonded to the front surface of your teeth to improve their shape, colour, and overall appearance. They’re a popular solution for correcting issues such as chipped or cracked teeth, discolouration, gaps, and minor misalignments.
The result? A natural, symmetrical, and long-lasting smile that enhances your confidence in every setting — from business meetings to social gatherings.
If you’ve seen veneers before and after photos, you already know the transformation can be remarkable. But your choice between porcelain veneers and composite veneers plays a big role in how your smile will look and feel.
Porcelain Veneers: The Premium Smile Solution

Porcelain veneers are often referred to as the “gold standard” in cosmetic dentistry. Crafted from durable, high-quality ceramic materials, they closely mimic the translucency and sheen of natural enamel.
Benefits of Porcelain Veneers
- Natural Appearance: Porcelain veneers have a glass-like translucency that beautifully reflects light, creating a natural, radiant look.
- Durability: With proper care, porcelain veneers can last many years, maintaining their gloss and structure.
- Stain Resistance: They resist stains from coffee, tea, and red wine better than natural enamel or composites.
- Minimal Maintenance: Regular brushing, flossing, and check-ups at your trusted veneers dentist near me are enough to keep them looking new.
The Porcelain Veneer Process
At Vinnova Dental, we start with a personalised consultation and digital smile design. Once we create your custom veneers, a thin layer of enamel is gently removed before the veneers are bonded for a seamless and long-lasting result.
Your smile is crafted to complement your facial symmetry, skin tone, and natural tooth aesthetics.
Composite Veneers: The Affordable and Quick Option

Composite veneers are an excellent choice if you want a faster, more budget-friendly smile enhancement. They’re made from a tooth-coloured resin applied directly to your teeth and shaped in one visit.
Advantages of Composite Veneers
- Instant Results: Achieve your dream smile in just one appointment.
- Cost-Effective: The veneers cost per tooth is lower than porcelain veneers, making it a great entry point to cosmetic dentistry.
- Minimally Invasive: Little to no enamel removal is required.
- Repairable: If a composite veneer chips or wears, it can be repaired easily without a full replacement.
You can explore more about this option at Vinnova Dental’s Composite Veneers page to understand how these veneers can transform your smile quickly and effectively.
Porcelain vs Composite Veneers: Key Comparison
| Feature | Porcelain Veneers | Composite Veneers |
| Material | High-quality ceramic | Tooth-coloured resin |
| Longevity | Longer-lasting | Moderate lifespan |
| Aesthetic Appearance | Natural translucency | Slightly less translucent |
| Stain Resistance | Highly resistant | May discolour over time |
| Repairability | Replacement needed if chipped | Easily repaired |
| Procedure Time | Two visits | Single visit |
| Customisation | Lab-crafted | Sculpted chairside |
Your final decision often depends on your smile goals, budget, and lifestyle. For premium, long-lasting aesthetics, porcelain veneers are ideal. For quick and affordable enhancement, composite veneers are an excellent choice.
What Affects Veneers Cost Per Tooth?
The veneers cost depends on several factors — beyond just materials. These include:
- Type of Veneer: Porcelain vs composite.
- Number of Teeth: Whether you’re improving one tooth or your entire smile.
- Dentist’s Expertise: Choosing an experienced veneers dentist near me ensures precision and lasting results.
- Smile Design Technology: Clinics like Vinnova Dental use advanced digital design tools to plan your ideal smile.
- Location: If you live in areas like Thurgoona, Wangaratta, Wodonga, or Albury, your veneers treatment can be conveniently managed by our local experts.
At Vinnova Dental, we focus on personalised smile solutions. Our pricing is transparent and customised to your needs — ensuring you get the best results without compromise.
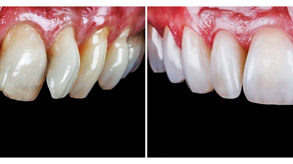
Veneers Before and After: The Real Transformation

If you’ve ever seen veneers before and after images, you know that veneers don’t just change teeth — they transform lives. From covering chips and stains to perfecting symmetry, veneers create a natural and confidence-boosting smile.
Our patients from Wodonga, Albury, Thurgoona, and Wangaratta have experienced remarkable transformations, and each one leaves our clinic smiling brighter than ever.
Why Choose Vinnova Dental for Veneers in Australia
Choosing the right clinic for your veneers is just as important as choosing the right material. Here’s why locals across regional NSW and VIC trust Vinnova Dental:
1. Expert Cosmetic Dentists
Our team specialises in porcelain veneers and composite veneers with years of experience in smile makeovers.
2. Personalised Smile Design
We use advanced technology to design your ideal smile — perfectly aligned, proportional, and radiant.
3. Comfortable and Modern Care
From digital impressions to gentle procedures, your experience is always comfortable, efficient, and anxiety-free.
4. Australian Quality and Standards
All materials and methods comply with Australian dental standards for safety and longevity.
5. Local Convenience
With clinics easily accessible for residents in Thurgoona, Wangaratta, Wodonga, and Albury, you can get world-class cosmetic dental care close to home.
Caring for Your Veneers
To maintain your veneers:
- Brush twice daily with a soft toothbrush
- Floss daily to prevent plaque buildup
- Avoid biting hard objects
- Visit your dentist every six months for professional cleaning
At Vinnova Dental, we guide you with aftercare instructions tailored to your veneer type — so your smile remains bright and beautiful for years.
Are Veneers Right for You?
If you’ve been considering veneers but aren’t sure where to start, book a consultation with our friendly experts. We’ll assess your teeth, discuss your smile goals, and help you decide between porcelain and composite veneers.
For residents across Albury, Thurgoona, Wangaratta, and Wodonga, Vinnova Dental is your trusted local clinic for high-quality, natural-looking veneers that boost confidence and comfort.
Book Your Consultation Today
Your dream smile is just one appointment away. Visit Vinnova Dental and speak with our experienced cosmetic dentistry team to begin your smile transformation journey.
Whether you’re looking for subtle improvements or a full smile makeover, we’re here to create results you’ll love — every time you smile.



